Hidden for Eight Years: The Shocking Discovery Behind a Man’s Leaking Nipple at the Hospital
If you’re munching on something right now, maybe finish that first — trust me, you don’t want to read this with a mouth full! Picture this: a guy strolls into the hospital because his nipple starts leaking pus. Gross, right? You’d probably assume it’s just a pesky infection, maybe a scratch gone bad—but hold onto your hats, because it turns out this wasn’t your everyday boob boo-boo. Nope, lurking inside was a legit, sizeable knife buried deep in his chest! How’s that for a plot twist even Hollywood wouldn’t dream up? This 44-year-old from Tanzania seemed pretty okay otherwise—no chest pain, no trouble breathing—just pus. The real kicker? The knife had been chilling in there for eight whole years after a violent altercation, only getting discovered when the pus stage kicked in. Talk about a ticking time bomb! It’s wild, it’s bizarre, and it really makes you wonder how our bodies sometimes pull off these survival tricks. Ready for the gruesome, unbelievable details? LEARN MORE.
If you’re eating, you might want to finish your food first before reading on… don’t say we didn’t warn you!
A man went to hospital after his nipple started leaking pus.
So far, so concerning.
You’d be forgiven for thinking you’d probably just scratched yourself and got a mild infection that antibiotics would sort out.
It turns out the man had something much, much worse.
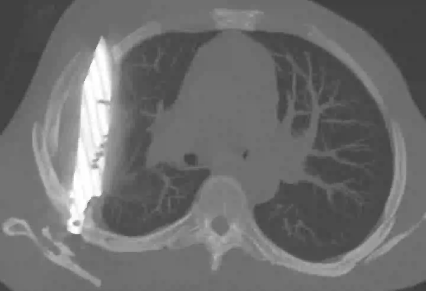
Sometimes truth is stranger than fiction, after an X-ray revealed the man had a sizeable knife buried deep inside his chest.
The 44-year-old man from Tanzania had expressed concern after pus started to come out of his right nipple, but never in your wildest dreams would you think a knife would be lodged in there.
Bizarrely, doctors noticed that besides the pus, he seemed well enough in himself.

It wasn’t a small amount of pus (National Library of Medicine)
A case report described the patient as ‘otherwise healthy‘ and somehow he was without any ‘chest pain, difficulty breathing, cough or fever.’
The mind boggles.
Doctors became concerned when the man confessed he been ‘involved in a violent altercation’ some eight years earlier.
He told them he received ‘multiple cuts to his face, back, chest and abdomen’.
As he lived in a remote area, he only received surface-level treatment and an X-ray was not carried out.
The case notes describe the previous eight years as ‘an uneventful course…until his current presentation’.

It’s a yikes from me (National Library of Medicine)
They said he arrived at the hospital ‘discharging foul-smelling pus’ with hardened or thickened skin around it, underneath his right nipple.
After ordering an X-ray, a ‘retained metallic object’ was found, and medics realised it was a knife, and it was surrounded by ‘pus and necrotic tissue’.
It had entered his body through his right shoulder.
Surgery was immediately recommended, and medics managed to retrieve the knife, and the man was deemed fit and well enough to return home just ten days later.
The notes do state how lucky this individual was as ‘while this patient recovered well after surgery, there was a considerable risk that the retained knife could lead to a fatal outcome’.

The man was found to have a knife embedded in his chest (National Library of Medicine)
The experts revealed that the reason the patient survived for so long with the knife embedded, was because his body successfully managed to ‘encapsulate the foreign body within a fibrous capsule [a tough protective layer of tissue], limiting inflammation and tissue damage’.
However, as his body had started to leak pus it became clear his luck was running out and the man was starting to display ‘serious complications’.
They finished by saying: “This case illustrates the urgent need for increased awareness and improved protocols for trauma management safe surgery in low-resource setting.”















