“Tragic MRI Mishap: Woman’s Painful Lesson After Leaving a Forbidden Object Inside”
Imagine this: You’re calmly preparing for an MRI scan, following all the necessary instructions, when suddenly you realize you’ve forgotten one crucial detail—oh, just your favorite, ahem, personal accessory. A woman recently found herself in absolute agony after she committed that unforgettable faux pas, leaving many to wonder: how on earth did this happen? This unfortunate incident has sparked discussions about strict MRI protocols that—let’s be honest—should probably come with a flashy neon sign: No metal objects allowed, including your secret stash of fun gear!
The incident is not only a cautionary tale but also a reminder of the power of MRI machines, which are like giant magnets that can turn an innocent appendage into a chaotic projectile. So, if you’re cringing at the thought, trust me—you’re in good company. Click on the link to dive into the full story and perhaps learn a thing or two about what not to bring to a medical imaging appointment. LEARN MORE.
A woman was left in agonising pain after she wore a sex toy while undergoing an MRI scan.
If you’re crossing your legs and wincing while reading this, you’re not alone.
The unfortunate patient broke one of the main rules of having an MRI, short for Magnetic Resonance Imaging.

Getty Stock Photo)
Any MRI scanner is essentially a giant magnet that uses radiowaves to generate an image. The downside of this is that it means anything containing metal – like an underwired bra or coins in your pockets – must be removed before entering it. To put it in perspective, MRI magnets are approximately 100,000 times stronger than the Earth’s magnetic field.
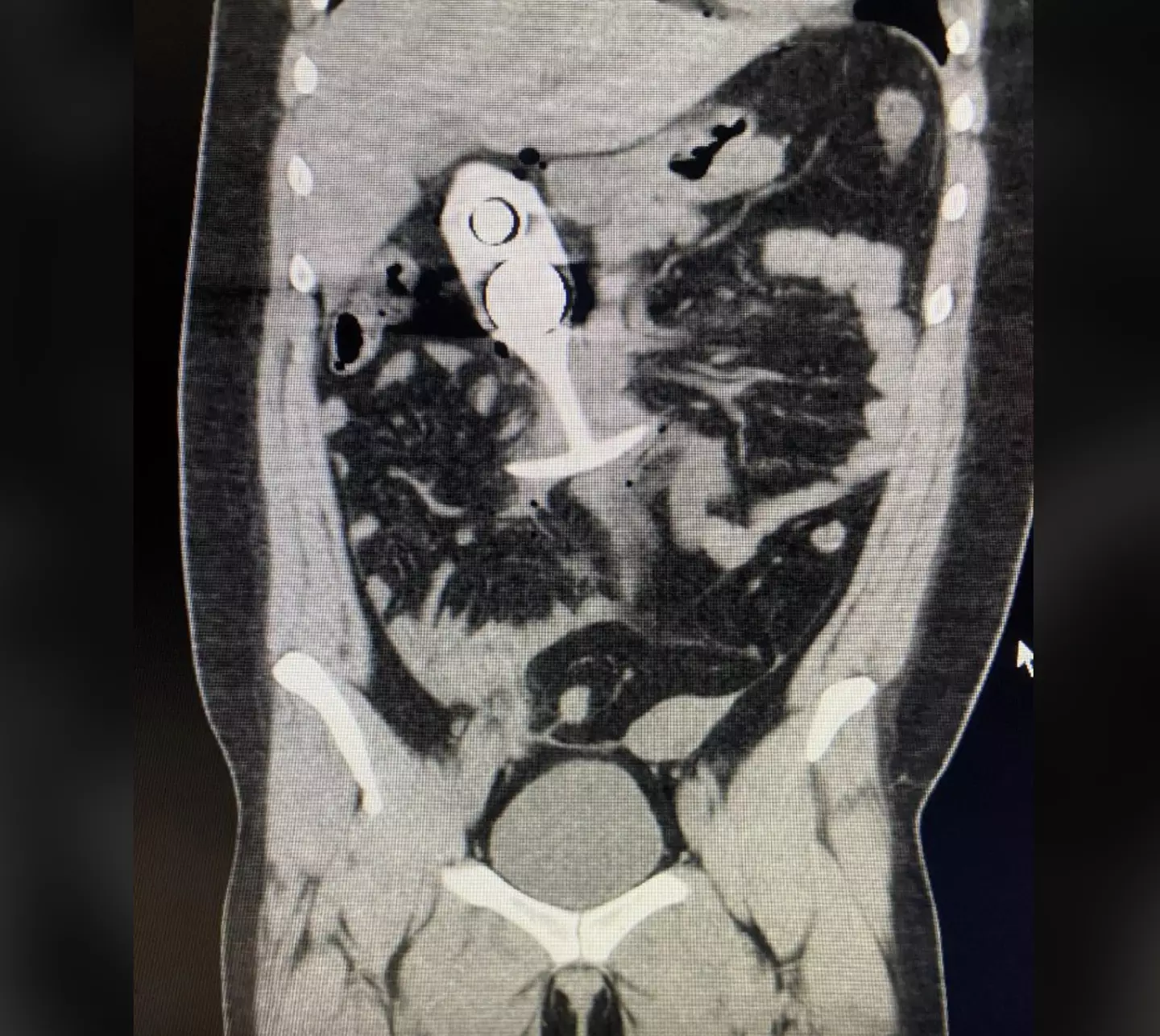
The unnamed patient had a sex toy inserted in her back passage before going into the scanner.
The hidden toy caused the woman to be screaming in agony as it tried to make an exit through her body to the magnet surrounding her.
Before you go into an MRI scanner, the consultant asks if you have anything metal on you, or anything that has been placed inside you for surgery (like a pacemaker or metal plates for reconstruction).
The women was asked, but she had apparently believed the sex toy was made from 100 percent silicone.
She didn’t declare it because she thought it was safe, but unfortunately, it contained a metal core.
The giant magnet caused the metal core to be attracted to it, and attempted to work a way out.
An image of the toy has been circulating online, much to the horror of social media users.
The picture of the alleged incident was shared by X (formerly Twitter) user ‘DreadPirateZero’, who wrote: ” “Never wear a butt plug to your MRI appointment. My god….”
It was claimed that the magnet caused the toy to shoot up into their chest cavity at the ‘speed of sound’.
Ouch.
It is claimed that the patient miraculously survived the incident, but they did sustain ‘major injuries’.
A report tells of a patient left ‘screaming’ after undergoing an MRI scan.
The health professional who filed the report has not been named.

Reddit)
They stated: “She went in for the MRI and when the MRI was over and the tech was pulling the table out the patient started to scream.
“The patient stated that she felt nauseous, was in pain, and felt like she was going to pass out.
“An ambulance was called for this patient and she was sent to the hospital.
“The patient was checked out by the radiologist at the site before transport to ensure the patient was doing okay.
“The patient has not returned any of our calls yet to try and follow up to see how she is doing.”
A medical expert has cast doubt on some details of the story, saying that the ‘speed of sound’ part is probably exaggeration.
Professor Adam Taylor is an expert in human anatomy at Lancaster University,.
He told MailOnline: “The speed at which ferromagnetic materials move in an MRI field is proportional to the mass of the object and how far away from the magnetic field it is,” he said.
“Things such as paper clips or hairpins would easily reach 40mph if within the field.
“As this ‘toy’ was predominantly silicone with a metallic core, there is potential that it moved at speed but not close to the speed of sound.”
Either way, it won’t have been fun.